A neurologist is a medical doctor who specializes in the brain and nervous system. They understand how these bodily systems work and how various disorders can affect them. So, if you’re having problems with your memory, a neurologist is the perfect physician to help figure out what’s going on.
Just as you did when you visited your primary care physician to discuss your memory concerns, it’s a good idea to prepare for a visit with a neurologist:
- Make a list of the symptoms you want to discuss. You can either use the list you made when you visited your primary care physician or make a new one using our free memory loss roadmap. Either way, having these specifics written down ensures that you’ll remember to share them with your neurologist.
- Ask someone you know to accompany you to the visit. The best choice is the same person who joined you for your visit with your primary care physician. After all, they’re already familiar not just with you, but also the symptoms you’re experiencing and what your primary care physician said. However, if that person isn’t available, that’s fine. Anyone you trust will be a good companion to help you navigate the visit and take notes that you can reference later.
The neurologist may also want a copy of your medical records, including the results of your most recent visit with your primary care physician. Many medical groups will transfer these records for you, but in some cases, you (or a trusted friend or family member) will need to arrange for them to be sent to the neurologist’s office before your visit.
Once you get to your appointment, the neurologist will spend some time getting to know you, your symptoms, and your medical history. They may ask you to complete a simple cognitive assessment (such as the “Montreal Cognitive Assessment (MoCA)”) to see how your brain and memory are functioning. The purpose of this visit isn’t to immediately diagnose a specific disorder, but to help them determine which additional tests would provide the detailed information necessary to understand what’s going on with your brain and your memory.
Common tests your neurologist may order fall into three main types:8
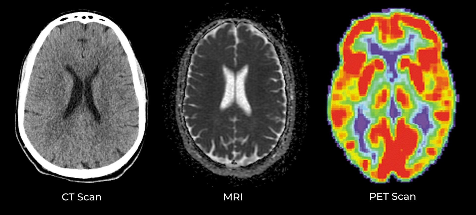
Brain imaging is used to examine the structure of your brain, looking for physical problems such as nerve damage, bleeding, fluid build-up, shrinkage, aneurysm, or a tumor. The two primary types of brain imaging scans are magnetic resonance imaging (MRI) and computed tomography (CT) scans. An MRI is more sensitive and may be done with or without “contrast” (a special intravenous dye that allows the MRI to show blood vessels more clearly and detect where there may be a break in the blood-brain barrier.) A third type of brain imaging is the positron emission tomography (PET) scan. Unlike an MRI or CT scan, which look at the physical structure of your brain, a PET scan looks at how well different parts of your brain are functioning. This is accomplished by injecting a harmless radioactive dye into your bloodstream and watching as it moves through your brain. Like a weather map that shows different temperatures across the country, a PET scan shows different levels of activity in different colors, helping doctors pinpoint which areas of your brain may be under-performing or where there may be abnormal buildups of protein.
All three scans are considered safe and non-invasive, mainly requiring you to lie still while the machine scans your head. These technologies are important because they allow your doctor to literally see inside your head, to examine different areas of your brain that may be causing your symptoms.

Examples of different brain imaging scans - A neuropsychological assessment is a comprehensive evaluation of your cognitive abilities, including your memory, executive function, judgment, attention, and language capabilities. This assessment is typically composed of a variety of tests, administered over several hours. It can be mentally exhausting, but it yields a precise measure of your brain’s output across a wide range of activities.
- Lab tests examine small samples of blood, urine, or spinal fluid to look for telltale signs of various problems, including a thyroid or vitamin deficiency, infection, kidney issues, protein build-ups, or the presences of certain disease markers, such as pTau217 (a marker associated with Alzheimer’s disease).
After all your tests are complete, you’ll probably meet with your neurologist again to discuss the results and any potential diagnosis.
Once again, be sure to bring someone you know with you to this visit. This discussion is usually filled with a lot of information and often with unfamiliar medical terminology. So having a second set of ears to listen, clarify, and take notes is important.
And if the neurologist does diagnose you with a cognitive disorder, it can be upsetting. So having someone there to support you is invaluable.
